おかげさまで開設25周年FURNITUREDECOR.UK 創業祭

FURNITUREDECOR.UK

詳しくはこちら
マイストア マイストア 変更
  • 即日配送
  • 広告
  • 取置可能
  • 店頭受取

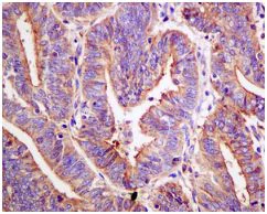
HOT ! ホメモmo2s Phospho-Stat3 Antibody (Tyr705) (D3A7) XP® Rabbit mAb | Cell

※FURNITUREDECOR.UK 限定モデル
YouTuberの皆様に商品の使い心地などをご紹介いただいております!
紹介動画はこちら

ネット販売
価格(税込)

52999

  • コメリカード番号登録、コメリカードでお支払いで
    コメリポイント : 6ポイント獲得

コメリポイントについて

購入個数を減らす
購入個数を増やす

お店で受け取る お店で受け取る
(送料無料)

受け取り店舗:

お店を選ぶ

近くの店舗を確認する

納期目安:

13時までに注文→17時までにご用意

17時までに注文→翌朝までにご用意

受け取り方法・送料について

カートに入れる

配送する 配送する

納期目安:

2026.01.03 21:57頃のお届け予定です。

決済方法が、クレジット、代金引換の場合に限ります。その他の決済方法の場合はこちらをご確認ください。

※土・日・祝日の注文の場合や在庫状況によって、商品のお届けにお時間をいただく場合がございます。

即日出荷条件について

受け取り方法・送料について

カートに入れる

欲しいものリストに追加

欲しいものリストに追加されました

ホメモmo2s Phospho-Stat3 Antibody (Tyr705) (D3A7) XP® Rabbit mAb | Cellの詳細情報

Phospho-Stat3 Antibody (Tyr705) (D3A7) XP® Rabbit mAb | Cell。Zelos Spearfish Dual Time TI Spark - SeriousWatches.com。Anti-FOXO3A (phospho S253) antibody [EPR1951(2)] (ab154786) | Abcam。Jim Wolf Technology JWT JWT 300ZX EPROM Chip Upgrade Twin Turbo。商品の説明はありません
  • Phospho-Stat3 Antibody (Tyr705) (D3A7) XP® Rabbit mAb | Cell
  • Zelos Spearfish Dual Time TI Spark - SeriousWatches.com
  • Anti-FOXO3A (phospho S253) antibody [EPR1951(2)] (ab154786) | Abcam
  • Jim Wolf Technology JWT JWT 300ZX EPROM Chip Upgrade Twin Turbo

同じカテゴリの 商品を探す

ベストセラーランキングです

このカテゴリをもっと見る

この商品を見た人はこんな商品も見ています

近くの売り場の商品

このカテゴリをもっと見る

カスタマーレビュー

オススメ度  4.6点

現在、5666件のレビューが投稿されています。